Forest Park Dental

"Experience Modern Dentistry with a Soft Touch"

4527 Forest Park Boulevard   St Louis, Missouri   63108
(314) 367-7200   fax (314) 367-0508

 

 

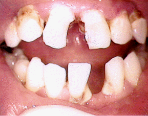
Bridgework

wpe93647.gif (42637 bytes)
Before

wpe98527.gif (40395 bytes)
After

Back

 

 

 

 

 


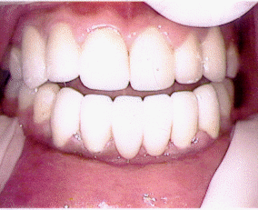
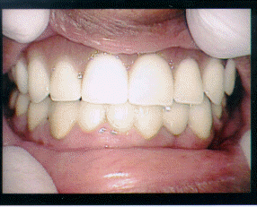
Reconstructive

wpe53230.gif (43317 bytes)
Before

wpe25946.gif (42061 bytes)
After

Back

















Cosmetic

wpe31026.gif (13226 bytes) wpe47970.gif (12525 bytes)

wpe49304.gif (49274 bytes)

wpe17629.gif (45221 bytes)

Back




 

 

 

 

 

 



Dentures

wpe43805.gif (40262 bytes)
Before

wpe92844.gif (43498 bytes)
After

Back












KCP

Kinetic Cavity Preparation 
Treating Tooth Decay a Gentler Way

Our office recently added the KCP tm kinietic cavity preparation system, an exciting new advance in dentistry.  We hope the following information will help you better understand this instrument and its use.

What is the KCP and how does it work?
It's a new instrument that can be used as an alternative to the drill in some procedures.   Minute particles almost too small to be seen with naked eye are carried to the tooth by a stream of air, gently and precisely spraying decay.

What does it mean to me as a patient?
Thanks to its precision and gentleness, the KCP allows us to treat decay at an earlier stage without as much removal of healthy tooth material.  Teeth treated this way may be less likely to require crowns in the future.  Smaller fillings are less susceptible to wear and may last longer.
The KCP system creates a cavity surface that is so ideal for use with tooth-colored (composite) fillings, we can place those fillings faster than ever before.   In some instances, the KCP actually allows us to complete your treatment in fewer visits.

Will it hurt?
The aspect of the KCP that many patients appreciate most is its comfort.   While no treatment is truly painless, the KCP system greatly reduces heat and vibration, two major sources of discomfort traditionally associated with fillings.  That's why the KCP can often be used without anesthetics.   This also enhances our ability to treat patients who are pregnant or medically compromised.  With the KCP, we can often treat children without the two things they fear the most --the needle and the drill.

Is it safe?
Absolutely.  The tiny particles we use are alpha alumina, a pure, biocompatible substance long used in medicine and food.  In fact, it is a prime ingredient in several whitening toothpastes.  Only a tiny amount is actually used in each procedure and most of it is immediately removed by our evacuation system.  Laboratory tests show that patients would have to undergo about 28 typical 20-30 second KCP procedures in order to inhale enough alpha alumina to equal the weight of one grain of table salt.

Are any precautions necessary?
We will ask you to wear special glasses to protect your eyes from irritation.  As an added precaution, we will sometimes shield off parts of your mouth which aren't being treated.

What does it sound like?
The most noticeable sound most patients hear is the evacuation system which removes particles from the mouth.  The KCP itself makes a blowing sound similar to an airbrush or an aerosol can being sprayed.

What can it be used for?
Besides tooth-colored fillings, the KCP is very useful in a number of cosmetic procedures such as veneer, inlay, and onlays.  It also allows us to apply preventative sealants in a matter of seconds--a time frame even shorter than the attention span of most youngsters!

If I come to your office, will I be treated with the KCP?
Not necessarily.  Though the KCP will dramatically reduce our overall reliance on the drill, it is not appropriate for every part of every procedure.   For example, we will continue to use the drill to remove silver (amalgam) fillings and for crown preparations.  Please ask us about the role the KCP might play in your treatment.


Back